5 Triệu chứng bệnh ung thư nướu răng dễ gặp
Ung thư là một căn bệnh nguy hiểm vì vậy để phòng ngừa ung thư tốt nhất bạn nên biết rõ thông tin về bệnh, một số triệu chứng bệnh ung thư nướu răng mà bạn nên biết để theo dõi những biểu hiện khác thường có thể gặp phải để có thể phát hiện và điều trị ung thư nướu răng một cách an toàn nhất. Ung thư nướu răng nếu như phát hiện ở giai đoạn muộn có thể di căn sang các bộ phận khác và nguy cơ tử vong vì vậy để phát hiện bệnh sớm bạn có thể dựa vào một số biểu hiện khác như:
1. Tổn thương nướu răng kéo dài không khỏi

Ung thư nướu răng dễ phát hiện hơn những loại ung thư khác khi vùng niêm mạc tại nướu lợi khá nhạy cảm, chỉ cần có những tổn thương xảy ra sẽ gây nên những cơn đau, dễ cảm nhận được. Đối với ung thư nướu răng thì thường sẽ gặp phải một số tổn thương nghiêm trọng kéo dài hơn 2 tuần mà không lành với tổn thương niêm mạc miệng có màu trắng hoặc đỏ chứ không hồng như bình thường, khi đó cần đi kiểm tra lại ngay.
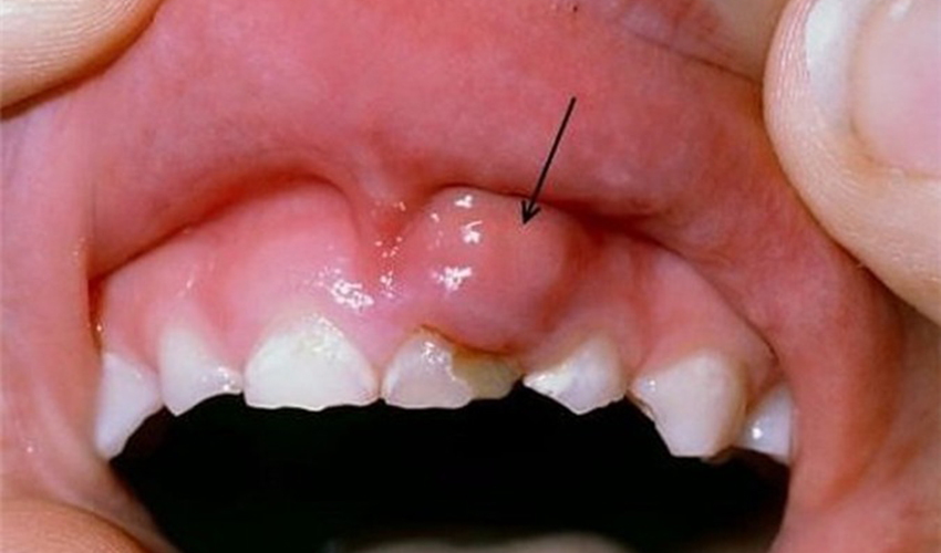
2. Xuất hiện khối u tại vùng nướu răng
Khối u ung thư sẽ phát triển nhanh sản sinh tế bào cực nhanh nên chỉ trong một thời gian ngắn, vì vậy khi quan sát thấy vùng nướu răng xuất hiện khối u, hơi đau và có màu đậm hơn vùng nướu thì bạn nên cảnh giác vì đây có thể là khối u, để biết là khối u lành tính hay ác tính thì bạn cần tới bệnh viện khám sinh thiết phát hiện chính xác nhất.
3. Chân răng lung lay không chắc
Những tổn thương nghiêm trọng do ung thư nướu gây ra có thể gây nên tình trạng viêm nhiễm làm chân răng lỏng hơn, đôi khi tình trạng này dễ nhầm với tình trạng bệnh viêm nhiễm chân răng vì vậy để biết chính xác dấu hiệu chân răng lung lay do dâu cần đi khám ngay nhé.
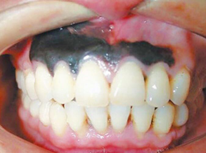
4.Vùng nướu sưng, đổi màu bất thường
Khi bị bệnh ung thư hoặc bệnh răng miệng thường quan sát thấy một số dấu hiệu bất thường nướu thay đổi màu, đỏ thẩm đậm màu hơn, đồng thời quan sát còn thấy một số dấu hiệu kèm theo đó là hơi thở có mùi hôi, chảy máu, chảy mủ dịch trắng ở vùng chân răng…

5. Lở loét, đau ở lưỡi
Ung thư nướu răng còn có thể gây lở loét và đau ở lưỡi miệng, lúc này triệu chứng của bệnh đa khá nghiêm trọng mà bạn nên cảnh giác. Thông thường, bệnh này có mức độ ác tính khá cao, phát triển nhanh, thường lây lan đến cơ lưỡi. Khi bị bệnh, hoạt động của lưỡi bị cản trở, khiến việc nói chuyện, ăn uống và nuốt gặp khó khăn. Ung thư lưỡi có thể xâm chiếm từ vòm miệng đến amidan, ung thư lưỡi giai đoạn cuối có thể lan từ đáy miệng đến xương hàm, khiến toàn bộ lưỡi cố định.
Trên đây là một số dấu hiệu cảnh bảo bệnh ung thư nướu răng mà mọi người nên cảnh giác phòng ngừa bệnh từ sớm, tuy những dấu hiệu trên không phải lúc nào chúng cũng xuất hiện cùng nhau vì vậy nên mọi người khi phát hiện những tổn thương do bệnh gây ra thì nên đi khám để điều trị bệnh tốt nhất.
Ngoài ra bạn cũng nên phòng ngừa bệnh ung thư nướu răng hiệu quả bằng cách tạo thói quen sinh hoạt tốt và kiểm tra nha khoa định kỳ, việc chăm sóc răng miệng hàng ngày càng quan trọng hơn, cũng là cách phòng ngừa hiệu quả nhất.
|
Nếu quý khách có mong muốn thăm khám, điều trị tại những bệnh viện uy tín nhất Hàn Quốc, vui lòng liên hệ với chúng tôi để được hỗ trợ tư vấn tốt nhất.
Trung tâm Du lịch y tế Hàn Quốc KMTC – Dịch vụ đưa khách hàng sang Hàn Quốc thăm khám, chữa bệnh và phẫu thuật thẩm mỹ uy tín nhất Việt Nam
Địa chỉ: Tòa The Light, CT2 Trung Văn, Nam Từ Liêm, Hà Nội Điện thoại: 04 666 40 500 Hotline hỗ trợ khách hàng 24/7: 0984 650 538 - Mr Cường
|

Viết bình luận: